Dr. Kenneth Rosenthal
Dr. Jonathan C. O’Quinn
Dr. Michael J. Price

(252) 830-1000

Greenville, North Carolina
follow us
like us
review us

Before and After

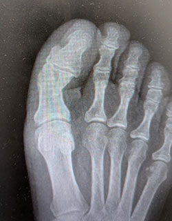
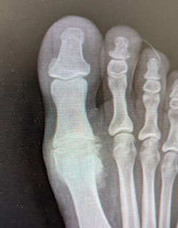
Displaced fracture of the great toe, before and after anatomic reduction using absorbable fixation pin (skin staples are in place and are removed at three weeks).

Before SurgeryBefore
After SurgeryAfter

Hallux rigidus (severe arthritis of the big toe joint) causing painful, limited motion of the joint and requiring removal of the arthritic bone and partial joint replacement (hemi-arthroplasty) to allow full range of motion and return to weight bearing.

Before SurgeryBefore
After SurgeryAfter

Tarsal coalition (fusion from birth) of calcaneus and navicular causing painful, rigid flat foot deformity and requiring removal of the fused bone to allow full range of motion and return to weight bearing.

Before SurgeryBefore
After SurgeryAfter

Diabetic fracture of navicular bone requiring stabilization of bone with screw stabilization of fracture to allow stability of the foot and return to weight bearing.

Before SurgeryBefore
After SurgeryAfter

Ankle fracture requiring stabilization of bone with screw and plate stabilization to allow stability of the foot and return to weight bearing.

Before SurgeryBefore
After SurgeryAfter

Motorcycle accident with post-traumatic arthritis of the midfoot requiring joint fusion with screws to allow stability of the foot and return to weight bearing.

Before SurgeryBefore
After SurgeryAfter
Connect with us
goog ico
hg ico big